Nosotras
Cirugía Estética
Odontología
Contacto
Odontología de alta
tecnología
Contamos con equipos de última generación y técnicas avanzadas que nos permiten ofrecer diagnósticos precisos y tratamientos efectivos. Nuestro objetivo es brindarte una atención odontológica moderna, cómoda y con resultados de excelencia.
En que te podemos ayudar
Implantes dentales
Ortodoncia
Tratamiento de nervio
Limpieza dental
Extracciones dentales
Resinas
Blanqueamiento dental
Cirugía cordales
Carillas
Coronas
Prótesis dentales
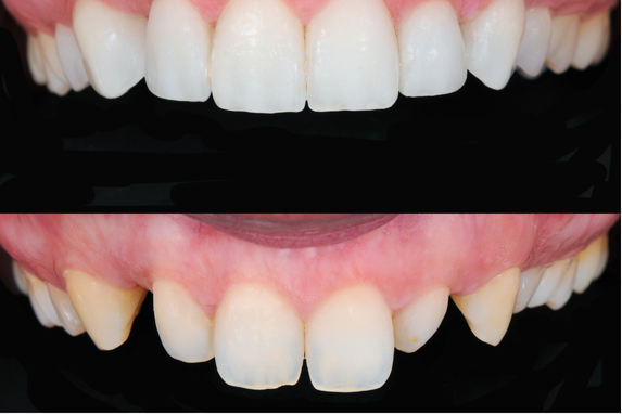
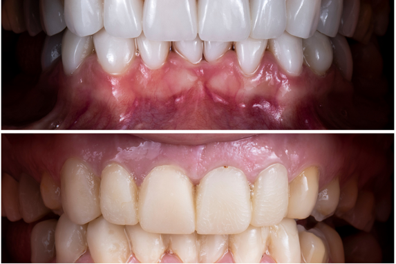
Cambiamos sonrisas
Luce esa sonrisa saludable
como nunca antes
Agenda tu cita